お知らせ
定期的なクリーニングは、なぜ必要なのか
むし歯や歯周病は、お口の中のばい菌が原因でおこる病気です。
このばい菌を取り除き数を減らすことが、お口の中の環境を維持するために必要になってきます。
歯垢(プラーク)は、このむし歯や歯周病の原因のばい菌の塊です。
毎日のブラッシングでも取り除くことは可能ですが、歯周ポケット(歯と歯ぐきの境目の溝)に入り込んだ汚れは
ご家庭でのブラッシングだけではなかなか落とすことが出来ません。
また、きちんと磨いていても鏡の角度や歯ブラシの向きにより、歯ブラシの死角になっている部分が生じます。
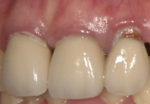
歯と歯ぐきの境目の白いものが歯垢(プラーク)です
そのために、歯科医院での定期的なクリーニングが必要になってきます。
お口の状態により期間は異なりますが、1年に数回程度の歯科医院でのクリーニングをお勧めします。
次のような方は、特に定期的なクリーニングが必要です。
1. 歯科医院に行く度にむし歯ができている。
2. 毎日のブラッシングに自信がない。
3. 歯並びの悪いところがある。
4. たくさんの詰め物・かぶせ物が入っている。
5. 歯ぐきが痩せて、歯の根っこ部分が見えている。
6. 4mm以上の歯周ポケットがある。
むし歯や歯周病は、お口の中のばい菌が原因でおこる病気です。
このばい菌を取り除き数を減らすことが、お口の中の環境を維持するために必要になってきます。
歯垢(プラーク)は、このむし歯や歯周病の原因のばい菌の塊です。
毎日のブラッシングでも取り除くことは可能ですが、歯周ポケット(歯と歯ぐきの境目の溝)に入り込んだ汚れは
ご家庭でのブラッシングだけではなかなか落とすことが出来ません。
また、きちんと磨いていても鏡の角度や歯ブラシの向きにより、歯ブラシの死角になっている部分が生じます。
歯と歯ぐきの境目の白いものが歯垢(プラーク)ですそのために、歯科医院での定期的なクリーニングが必要になってきます。
お口の状態により期間は異なりますが、1年に数回程度の歯科医院でのクリーニングをお勧めします。
次のような方は、特に定期的なクリーニングが必要です。1. 歯科医院に行く度にむし歯ができている。
2. 毎日のブラッシングに自信がない。
3. 歯並びの悪いところがある。
4. たくさんの詰め物・かぶせ物が入っている。
5. 歯ぐきが痩せて、歯の根っこ部分が見えている。
6. 4mm以上の歯周ポケットがある。


