コンセプト
患者様との円滑なコミュニケーションのもと、現状の問題点と解決のカードの長所短所をご理解して頂いた上で治療を始めさせていただくことをモットーとしております。
当院は 患者様のお役に立つ歯科医院 を目指しております。
高額なインプラントを前面に押し出されるクリニックのHPも数多く見られますが、
当院ではあくまでも 患者様の選択肢のひとつとしてのインプラントと考えております。

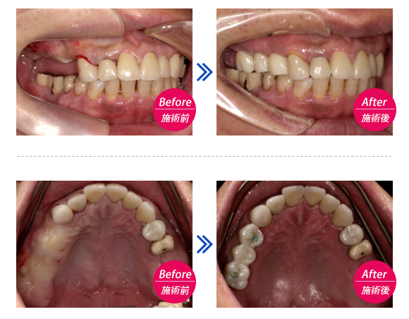
歯をきれいにしたい
ホワイトニングや歯のクリーニング、少なくなった歯ぐきを増やしたいなどのご相談もお受けいたします。
お口の状態により色々なケースがありますので受診が必要な場合がありますが、お気軽にご相談ください。
矯正治療が必要な場合には、信頼のおける先生への紹介を行っております。


